Na první pohled povedená noční fotka. Pak se podíváte blíže a zjistíte, že fotografovaná osoba má červený záblesk v očích. Jak se tohoto nechtěného efektu zbavit? Se Zoner Studiem lehce!
Na první pohled povedená noční fotka. Pak se podíváte blíže a zjistíte, že fotografovaná osoba má červený záblesk v očích. Jak se tohoto nechtěného efektu zbavit? Se Zoner Studiem lehce!
Nejjednodušší cestou, jak se zbavit efektu červených očí, je nepoužívat interní blesk fotoaparátu. Tohle ale asi není přesně ta rada, kterou chcete slyšet, že? Pojďme se tedy podívat na to, jak se tohoto „kazu“ zbavit.
Kde se vzaly červené oči?
Začněme trochou teorie. Efekt červených očí vzniká tehdy, když silný proud světla vstupuje do oka pod takřka stejným úhlem jako objektiv. Zornice nestačí takto rychle reagovat na velký přísun světla a odrazí ho zpět do objektivu fotoaparátu.
Existuje spousta cest, jak odrazu zabránit:
- Používejte na svém fotoaparátu předblesknutí.
- Přidejte přirozené světlo – zorničky se stáhnou, a tak zabrání odrazu.
- Světelný zdroj umístěte dále od fotoaparátu.
- Vysvětlete modelu, že se má dívat jinam než do objektivu.
Zbavte se červených očí se Zoner Studiem
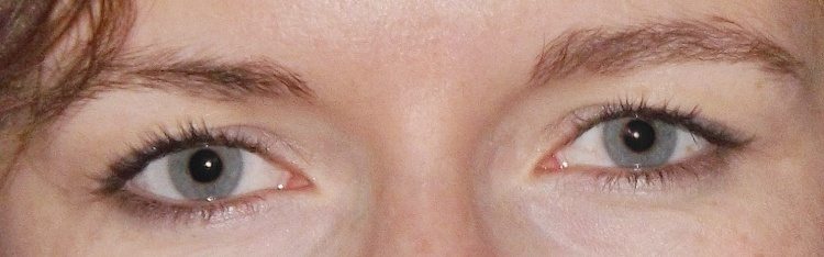
Podívejme se na jeden příklad. Fotku jsem pořídil v zatemněné místnosti, takže zorničky fotografované zůstaly roztažené, a tak sítnice odráží dopadající světlo z blesku.

Abychom odstranili červené oči, je třeba si otevřít v Zoner Studiu modul Editor. V hlavní nástrojové liště najdete nástroj Redukovat červené oči (R) symbolizovaného ikonkou oka.
Nástroj se spouští v automatickém režimu, který nenabízí mnoho možností, ovšem je velmi jednoduché v něm pracovat. Zaměřte se na červená místa v očích. Nastavte parametr Průměr na takovou velikost, jakou mají zorničky fotografované osoby. Pak jednoduše kliknete na zorničku a červená barva zmizí.
Přesnějšího odstranění červených očí dosáhnete pomocí Pokročilého nastavení. V něm najdete barvu a tři další hodnoty. Tolerance určuje, jak široké spektrum červené je považováno za červené oči. Tuto hodnotu není většinou třeba měnit. Abyste aplikovaný efekt zjemnili a zároveň zabránili nepřirozeně vypadajícím zorničkám, nastavte nižší hodnotu Ztmavení. Rozmazání zase zajistí hladký přechod od okrajů. Pro lepší detekování červených očí si můžete vybrat i konkrétní barvu a nemusí to být nutně červená – to využijete především při úpravě zvířecích očí.

Tady jsme nepatrně rozšířili automaticky vybranou oblast a zároveň trochu zvýšili hodnotu Ztmavení. Podívejte se sami, jak oči vypadaly před úpravou a po ní.
Doporučení
Efekt červených očí vzniká tehdy, když zornice fotografovaného člověka se stahují pomalu. Nejvíce náchylné jsou proto děti a osoby pod vlivem alkoholu. Stejně tak ale i zvířata. Vzpomeňte si, kdy jste viděli naposledy v noci z auta třeba srnku. Oči se jí pěkně leskly, že? Stejně jako reflektory auta funguje i blesk fotoaparátu. Funkci tedy využijete i u zvířecích očí, stačí vybrat v pokročilém nastavení správnou barvu.
Zatím zde není žádný komentář.